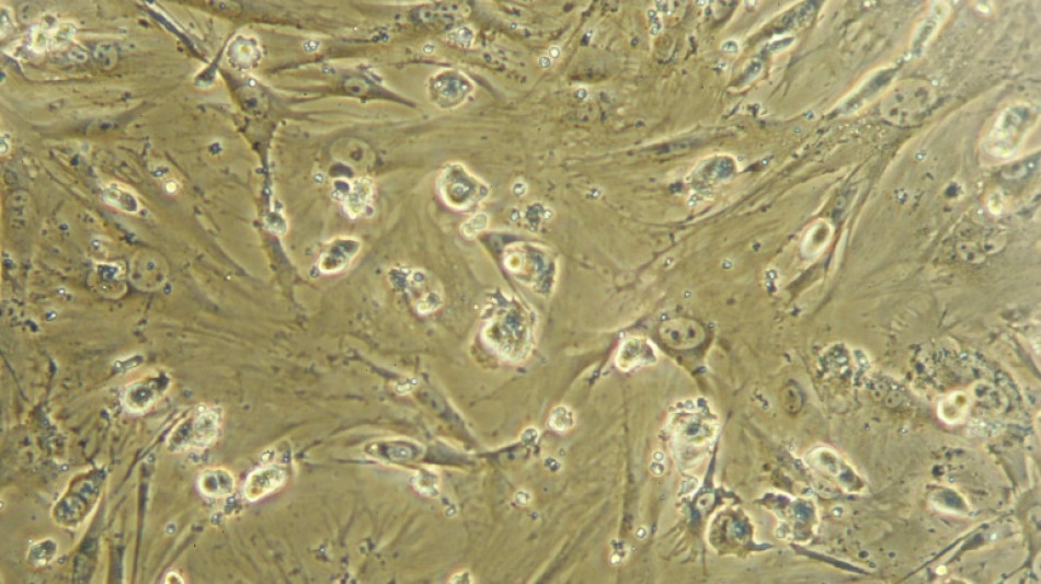
Bombay Durpun - Científicos japoneses logran avances en lesiones medulares con un tratamiento de células madre

EUR -
AED 4.302854
AFN 74.39904
ALL 95.619662
AMD 433.096644
ANG 2.097102
AOA 1075.566716
ARS 1631.816974
AUD 1.625293
AWG 2.108954
AZN 1.995753
BAM 1.956194
BBD 2.354894
BDT 143.458887
BGN 1.954417
BHD 0.442091
BIF 3479.30059
BMD 1.171641
BND 1.493001
BOB 8.078627
BRL 5.774663
BSD 1.169245
BTN 111.345371
BWP 15.889199
BYN 3.309995
BYR 22964.162049
BZD 2.351494
CAD 1.593824
CDF 2712.34812
CHF 0.915807
CLF 0.027076
CLP 1065.65458
CNY 8.002717
CNH 7.99335
COP 4356.66624
CRC 531.909375
CUC 1.171641
CUP 31.048484
CVE 110.287207
CZK 24.385828
DJF 208.203701
DKK 7.473517
DOP 69.664325
DZD 155.202576
EGP 62.816941
ERN 17.574614
ETB 183.843603
FJD 2.568881
FKP 0.865677
GBP 0.863441
GEL 3.145891
GGP 0.865677
GHS 13.106639
GIP 0.865677
GMD 85.530247
GNF 10261.066162
GTQ 8.922931
GYD 244.609254
HKD 9.181037
HNL 31.079391
HRK 7.534943
HTG 153.020812
HUF 361.335815
IDR 20386.024784
ILS 3.444159
IMP 0.865677
INR 111.529086
IQD 1534.849606
IRR 1541879.451952
ISK 143.22135
JEP 0.865677
JMD 183.987048
JOD 0.830677
JPY 184.692202
KES 151.001407
KGS 102.425437
KHR 4689.944364
KMF 492.677052
KPW 1054.48057
KRW 1712.986437
KWD 0.36083
KYD 0.974305
KZT 543.294034
LAK 25675.38912
LBP 104701.476252
LKR 374.148532
LRD 214.545032
LSL 19.566907
LTL 3.459551
LVL 0.708714
LYD 7.417557
MAD 10.806076
MDL 20.180236
MGA 4869.980616
MKD 61.652941
MMK 2460.102223
MNT 4192.842457
MOP 9.437581
MRU 46.685799
MUR 55.008529
MVR 18.107702
MWK 2027.408238
MXN 20.30653
MYR 4.638298
MZN 74.858342
NAD 19.566907
NGN 1600.402999
NIO 43.028664
NOK 10.830268
NPR 178.151633
NZD 1.984039
OMR 0.450615
PAB 1.169235
PEN 4.099025
PGK 5.084024
PHP 72.114016
PKR 325.824098
PLN 4.245517
PYG 7084.486994
QAR 4.272567
RON 5.238762
RSD 117.400755
RUB 88.460002
RWF 1709.544233
SAR 4.395789
SBD 9.403436
SCR 16.361155
SDG 703.569739
SEK 10.832909
SGD 1.492536
SHP 0.874748
SLE 28.851629
SLL 24568.719798
SOS 668.234555
SRD 43.909597
STD 24250.601528
STN 24.504934
SVC 10.230147
SYP 129.502321
SZL 19.562605
THB 37.996671
TJS 10.931995
TMT 4.106601
TND 3.385462
TOP 2.82103
TRY 52.990864
TTD 7.925664
TWD 36.977176
TZS 3042.965869
UAH 51.381846
UGX 4413.888778
USD 1.171641
UYU 47.069635
UZS 14070.953414
VES 578.197718
VND 30843.447241
VUV 138.868188
WST 3.182096
XAF 656.08911
XAG 0.015866
XAU 0.000255
XCD 3.166418
XCG 2.107142
XDR 0.815964
XOF 656.094711
XPF 119.331742
YER 279.553326
ZAR 19.424055
ZMK 10546.163634
ZMW 22.068632
ZWL 377.267898