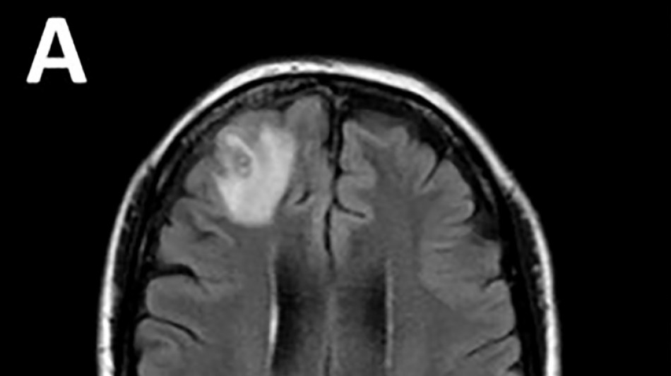
Bombay Durpun - Médicos australianos hallan por primera vez una lombriz parásita en el cerebro de una mujer

EUR -
AED 4.314099
AFN 76.936429
ALL 96.605599
AMD 448.400944
ANG 2.102883
AOA 1077.044807
ARS 1691.556453
AUD 1.764619
AWG 2.114155
AZN 2.001365
BAM 1.959379
BBD 2.366212
BDT 143.572249
BGN 1.956545
BHD 0.440843
BIF 3482.482632
BMD 1.17453
BND 1.517265
BOB 8.117793
BRL 6.365607
BSD 1.174841
BTN 106.244614
BWP 15.566367
BYN 3.463412
BYR 23020.795811
BZD 2.362806
CAD 1.618562
CDF 2630.948518
CHF 0.934916
CLF 0.027253
CLP 1069.11676
CNY 8.28573
CNH 8.284609
COP 4467.326371
CRC 587.670939
CUC 1.17453
CUP 31.125056
CVE 110.728901
CZK 24.276491
DJF 208.738004
DKK 7.472132
DOP 74.994227
DZD 152.329593
EGP 55.571073
ERN 17.617956
ETB 182.316528
FJD 2.660605
FKP 0.879936
GBP 0.878351
GEL 3.175767
GGP 0.879936
GHS 13.489529
GIP 0.879936
GMD 85.741137
GNF 10207.844111
GTQ 8.998437
GYD 245.78791
HKD 9.137671
HNL 30.777205
HRK 7.537789
HTG 153.990624
HUF 385.234681
IDR 19536.845016
ILS 3.785271
IMP 0.879936
INR 106.356551
IQD 1538.634822
IRR 49474.161194
ISK 148.465122
JEP 0.879936
JMD 188.10359
JOD 0.832789
JPY 182.940203
KES 151.401433
KGS 102.713135
KHR 4705.169188
KMF 492.719958
KPW 1057.060817
KRW 1732.409297
KWD 0.360233
KYD 0.979084
KZT 612.71658
LAK 25463.81945
LBP 105179.197597
LKR 363.02155
LRD 207.92129
LSL 19.826521
LTL 3.468083
LVL 0.710462
LYD 6.366402
MAD 10.795403
MDL 19.860192
MGA 5297.132504
MKD 61.543973
MMK 2466.385496
MNT 4167.553805
MOP 9.420668
MRU 46.676283
MUR 53.915339
MVR 18.092159
MWK 2039.576425
MXN 21.158465
MYR 4.812408
MZN 75.064681
NAD 19.826516
NGN 1706.088063
NIO 43.193401
NOK 11.906572
NPR 169.991784
NZD 2.023657
OMR 0.449616
PAB 1.174841
PEN 4.232665
PGK 5.002564
PHP 69.43241
PKR 329.132826
PLN 4.225315
PYG 7891.414466
QAR 4.276587
RON 5.092651
RSD 117.424033
RUB 93.579038
RWF 1704.243608
SAR 4.407202
SBD 9.603843
SCR 17.568707
SDG 706.484352
SEK 10.887784
SGD 1.517538
SHP 0.881202
SLE 28.335591
SLL 24629.319496
SOS 671.248424
SRD 45.275842
STD 24310.407882
STN 24.958771
SVC 10.279733
SYP 12986.886804
SZL 19.826507
THB 37.021631
TJS 10.796675
TMT 4.122602
TND 3.424975
TOP 2.827988
TRY 50.147872
TTD 7.972529
TWD 36.804032
TZS 2901.090478
UAH 49.639761
UGX 4175.627205
USD 1.17453
UYU 46.104017
UZS 14097.305357
VES 314.116117
VND 30897.196663
VUV 142.580188
WST 3.259869
XAF 657.154562
XAG 0.018954
XAU 0.000273
XCD 3.174228
XCG 2.117359
XDR 0.816516
XOF 655.388352
XPF 119.331742
YER 280.129715
ZAR 19.820676
ZMK 10572.187233
ZMW 27.109403
ZWL 378.198309